Development of a compact device for rapid eye health diagnostics
Envision Diagnostics develops a retinal diagnostic device designed to translate into higher quality and more efficient eye exams.
Client
Envision Diagnostics
Industry
Medical
What client brought
Content
Service provided
Custom Solution
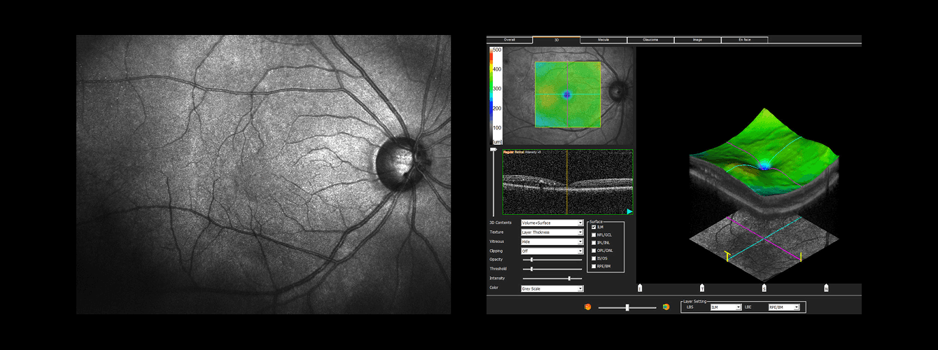
Envision Diagnostics seeks to elevate eyecare testing standards, provide more reliable patient data for ophthalmologists, and expand access to eye care by automating eye testing. Envision Diagnostics’ automated eye scan device generates objective test results that help ophthalmologists find abnormalities faster, more accurately, and more affordably.
The easy-to-use device resembles a VR headset connected to a tabletop stand. While users look through the ocular lenses, the device scans their eyes with lasers through a number of technologies, including Optical Coherence Tomography (OCT), Scanning Laser Ophthalmoscopy (SLO), and an Autorefractor. Envision’s OCT device captures thousands of 4K image slices to generate a high-fidelity 3D model and movie of the patient’s eyes. OCT data is especially helpful, as it can be applied to numerous ocular tests to diagnose a myriad of maladies. SLO scans the retina and cornea to help diagnose disorders, such as glaucoma and macular degeneration. The Autorefractor is a computer-controlled system that determines the refractive error in a patient’s eye in order to correct the patient’s vision so they can see the device’s display clearly.
Second Order Effects (SOE) helped Envision Diagnostics analyze, architect, design, and test the hardware and firmware for the eye scanner. This includes not just the aforementioned diagnostic technologies but also features, such as laser and motion safety subsystems, networking, power, audio, and circuitry required to support optical equipment.



